Last updated: 5 ส.ค. 2568 | 4126 จำนวนผู้เข้าชม |
การรักษาหลุมสิว ถือเป็นศิลปะทางการแพทย์ขั้นสูงอีกอย่างหนึ่ง ที่ต้องใช้ทักษะความชำนาญและฝีมือเฉพาะตัวของแพทย์ที่ทำการรักษาเป็นอย่างมาก อีกทั้งวิธีที่ดีที่สุด ไม่ได้มีเพียงวิธีเดียวที่จะรักษาหลุมสิวได้ทุกประเภท หมอจึงรักษาหลุมสิวด้วยการใช้หัตถการแพทย์หลากหลายวิธีร่วมกัน และเลือกวิธีที่เหมาะสมที่สุดสำหรับประเภทหลุมสิวและสภาพผิวของแต่ละคน เพื่อให้ได้ผลลัพธ์ที่ดีขึ้นได้มากที่สุดเท่าที่จะสามารถเป็นไปได้
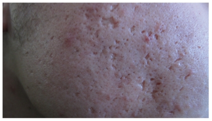
ICE PICK SCARS: หลุมสิวแบบที่พบบ่อยที่สุด

ICE PICK SCAR พบได้บ่อยแค่ไหน ?
เป็นรูปแบบของหลุมสิวที่เกิดขึ้นบ่อยที่สุด พบได้ 60%–70% ของผู้ป่วยหลุมสิวทั้งหมด
ICE PICK SCARS มีลักษณะอย่างไร ?
ตามคำนิยามคือ แผลเป็นหลุมสิวที่มีลักษณะแคบ(<2 มม.) ลึก และมีขอบคมชัด ก้นแผลมักลงลึกไปจนถึงโครงสร้างชั้นลึกหรือชั้นเนื้อเยื่อไขมัน
ICE PICK SCARS เกิดขึ้นได้อย่างไร ?
มักเกิดจากสิวที่รุนแรง เช่น ซีสต์และตุ่มสิวที่เกิดขึ้นในรูขุมขนส่วนลึก ดังในบทความ “สิวและรอยแผลเป็นจากสิวเกิดจากอะไร” ที่หมอเขียนไว้ สิวเป็นโรคที่มีการอักเสบภายในและรอบๆรูขุมขน Pilosebaceous unit
การอักเสบ คือสิ่งที่ทำให้สิวบวมแดง และเจ็บเมื่อถูกสัมผัส ซึ่งเป็นการตอบสนองของร่างกายต่อการเจริญเติบโตของแบคทีเรียในรูขุมขน
เมื่อแบคทีเรียถูกทำลายโดยระบบภูมิคุ้มกันของร่างกาย กระบวนการ wound healing จะเริ่มต้นขึ้น โดยมีจุดประสงค์เพื่อซ่อมแซมความเสียหายหลังการต่อสู้กันระหว่างแบคทีเรียกับภูมิคุ้มกันของร่างกาย ในระหว่างการรักษาบาดแผล เนื้อเยื่อใหม่จะถูกสร้างขึ้นมา แต่ในขณะเดียวกัน ร่างกายก็จะต้องทำการกำจัดเนื้อเยื่อที่ได้รับความเสียหายระหว่างการต่อสู้ครั้งแรกระหว่างแบคทีเรียกับร่างกายไปด้วยพร้อมๆกัน นี่จึงเป็นหนึ่งในกระบวนการทางชีววิทยาที่ซับซ้อนที่สุด กล่าวคือมีทั้งการสร้างคอลลาเจนใหม่ และทำลายคอลลาเจน อีลาสติน และECM ที่เสียหายไปพร้อมๆกัน
เมื่อการทำลายเนื้อเยื่อที่เสียหายกระจุกตัวอยู่แค่บริเวณรูขุมขน รอยแผลเป็นจึงกินวงแคบแคบแต่ลงลึกมาก ดังนั้นยิ่งการอักเสบกินเวลานานมากเท่าไร ICE PICK SCARS ก็จะรุนแรงมากขึ้นเท่านั้น
TCA CROSS ช่วยรักษา ICE PICK SCARS ได้อย่างไร?
TCA เป็นกรดที่มีความแรงสูง แต่ผิวหนังมักจะทนได้ดีและไม่ค่อยปวดแสบ
กลไกการออกฤทธิ์ของ TCA CROSS คือ:
1. เกิดความเสียหายของเนื้อเยื่อเฉพาะที่ tissue damage บริเวณก้นแผลหลุมสิวที่กรดเข้มข้นไปสัมผัสถึง
2. เมื่อมี tissue damageเฉพาะที่เกิดขึ้น จะไปกระตุ้นให้ไฟโบรบลาสต์ ให้สร้างเส้นใยคอลลาเจนใหม่ขึ้นมา
3. เนื้อเยื่อเริ่มมีการจัดเรียงตัวใหม่ ส่งผลให้ปริมาตรในผิวหนังเพิ่มขึ้น ร่วมกับมีการสร้างสาร ECM(ไกลโคซามิโนไกลแคน) เส้นใยคอลลาเจน และอีลาสตินขึ้นด้วย
โดยทั่วไป การรักษาด้วยวิธีนี้ มักจะต้องทำ 3-4 ครั้ง จึงจะเห็นผลที่ตื้นขึ้นในระดับหนึ่ง ในเคสที่สีผิวเข้มคล้ำ มักต้องใช้จำนวนครั้งในการทำTCA CROSS เพิ่มอีก 1-2 ครั้ง จึงจะเห็นผล เนื่องจากต้องใช้ความเข้มข้นของ TCA ที่น้อยลง เพื่อลดความเสี่ยงของ PIH(รอยดำจากการอักเสบ)
การผ่าตัดเย็บหลุมสิว PUNCH EXCISION รักษา ICE PICK SCARS ได้อย่างไร?
หากหลุมสิวแบบ ICE PICK SCARS มีความลึกและรุนแรงมาก ไม่ตอบสนองด้วยการรักษาด้วยวิธีอื่น หมอจะพิจารณารักษาด้วยการผ่าตัดเย็บหลุมสิว PUNCH EXCISION
เป็นวิธีการผ่าตัดเอาเนื้อเยื่อที่เป็นพังผืดออก แล้วเย็บปิดแผลด้วยไหมที่ไม่ละลาย ซึ่งจะนัดมาตัดไหมหลังจากนั้นที่ประมาณ 5-7 วัน
วิธีนี้เป็นการเปลี่ยนลักษณะของแผลเป็นรูจิกลึก ให้กลายเป็นแบบเส้นจางๆแทน ซึ่งหลังจากรอให้แผลติดและแห้งดีหลังจาก 4-6 สัปดาห์ไปแล้ว มักจะต้องใช้เลเซอร์เพื่อปรับ texture รอยแผลให้เรียบขึ้นและรอยแผลจางลง
ผลลัพธ์หลังจากทำ TCA CROSS และ PUNCH EXCISION เป็นอย่างไร
ผลลัพธ์โดยทั่วไป มักจะได้ผลดี หลังจากการรักษาด้วย TCA cross จะสามารถคาดหวังผลได้เฉลี่ย 20-30% ต่อครั้ง เมื่อรักษาไป 3-4 ครั้ง คาดหวังดีขึ้นได้ 60-70%
อย่างไรก็ตาม สิ่งสำคัญคือต้องทำความเข้าใจคือ ต้องใช้ระยะเวลาหลายสัปดาห์กว่าที่ผลลัพธ์สุดท้ายที่แท้จริงจะปรากฏ เนื่องจากกระบวนการทางชีววิทยาของร่างกายเองใช้เวลาในการทำลายเนื้อเยื่อพังผืด และสร้างเนื้อเยื่อผิวใหม่ขึ้นมา ใช้เวลาหลายเดือน
BOXCAR SCAR TREATMENT
การระบุประเภทหลุมสิวที่ถูกต้อง
การระบุประเภทของหลุมสิวได้อย่างถูกต้อง เป็นขั้นตอนเริ่มต้นที่สำคัญที่สุดในการวางแผนการรักษาหลุมสิวในคนไข้แต่ละราย การเลือกวิธีรักษาให้ถูกกับประเภทหลุมสิวเป็นกุญแจที่จะนำไปสู่ผลลัพธ์ที่ดีที่สุด


หลุมสิว BOXCAR เกิดได้อย่างไร?
แผลเป็นหลุมสิวชนิด BOXCAR SCAR มักพบการยุบฝ่อตัวของเนื้อเยื่อชั้นใต้ผิวร่วมด้วยในระดับหนึ่ง
แน่นอนค่ะที่ หลุมสิวเป็นผลจากการเป็นสิว แต่คุณเคยคิดบ้างไหมว่า ทำไมบางคนถึงเป็นหลุมสิวใน ขณะที่บางคนไม่เป็น??
ทั้งหมดนี้ขึ้นอยู่กับพันธุกรรม ระบบภูมิคุ้มกันในระดับยีนของแต่ละคน และกลไกเฉพาะตัวของผิวหนังในการเพื่อซ่อมแซมตัวเองหลังจากเป็นสิวอักเสบ
ในระหว่างกระบวนการซ่อมแซม ระบบป้องกันของร่างกายมีบทบาทสำคัญในการสร้างผิวหนังใหม่และกำจัดเนื้อเยื่อที่ถูกเสียหายจากสิว
อย่างไรก็ตาม ในผู้ป่วยที่มีแนวโน้มที่จะเกิดหลุมสิว มักจะมีการกำจัดทำลายเนื้อเยื่อเก่าออกมากเกินไปเมื่อเทียบกับปริมาณของเนื้อเยื่อที่สร้างขึ้นมาใหม่ ผลที่ตามมาคือการเกิดแผลเป็นหลุมสิวขึ้นมา หากต้องการเรียนรู้เพิ่มเติมเกี่ยวกับการเกิดโรค โปรดอ่านบทความ “สิวและรอยแผลเป็นหลุมสิวเกิดจากอะไร”
แผลเป็นจากสิวประเภทต่างๆ อาจเกิดขึ้นในระหว่างขั้นตอนการซ่อมแซมนี้ ซึ่งแผลเป็นหลุมสิวแบบ BOXCAR ก็เป็นหนึ่งในนั้น มีลักษณะเป็นรอยกดแบบกล่องสี่เหลี่ยมถึงวงรี ที่มีขอบคมชัดเจน คล้ายกับในแผลเป็นจากอีสุกอีใส
มักมีปากแผลกว้างกว่าหลุมสิวแบบ ICE PICK SCARS และก้นแผลจิกลงไปไม่ลึกเท่า
หลุมสิวแบบ BOXCAR พบได้บ่อยแค่ไหน?
พบได้ประมาณ 20%–30% ของผู้ป่วยหลุมสิวทั้งหมด ซึ่งเป็นประเภทที่พบได้บ่อยเป็นอันดับ 2 รองจากแบบ ICE PICK SCARS ที่พบได้บ่อยที่สุด
การรักษาหลุมสิว BOXCAR SCARS โดยใช้ FRACTIONAL LASER ??
เลเซอร์ FRACTIONAL LASER CO2 ความยาวคลื่น 10,600 นาโนเมตร เป็นหนึ่งในเลเซอร์ที่ดีที่สุดในการรักษาหลุมสิว BOXCAR SCARS ชนิดตื้น เลเซอร์กลุ่มนี้ให้ผลการรักษาที่ดีมาก แต่ก็อาจมีผลข้างเคียงที่รุนแรงมาก จำเป็นต้องอยู่ในมือแพทย์ที่เชี่ยวชาญเท่านั้น
หลักการทำงานของเลเซอร์ FRACTIONAL LASER CO2 จะสร้างการทำลายผิวที่มีแผลเป็นให้เป็นช่องคอลัมน์เล็กๆ เข้าไปในผิวหนัง โดยยังคงสภาพผิวหนังที่ปกติโดยรอบไว้ แสงจากเลเซอร์จะทะลุผ่านส่วนบนของผิวหนังและลงไปถึงชั้นหนังแท้ เกิดการบาดเจ็บของผิวหนัง แล้วกระตุ้นการสร้างจัดเรียงของคอลลาเจนใหม่ จึงส่งผลให้แผลเป็นหลุมสิวนั้นตื้นขึ้น
หลังการรักษา ผิวจะมีอาการบวมแดงเกิดขึ้น อาการบวมจะบรรเทาลงอย่างรวดเร็วภายใน 2-3 วัน ในขณะที่รอยแดงมักจะคงอยู่เป็นสัปดาห์
โดยทั่วไปการรักษาด้วย FRACTIONAL LASER ควรทำซ้ำ 2-4 ครั้ง ทุกๆ 1-2 เดือน เพื่อให้ได้ผลลัพธ์ที่ดีที่สุด แต่ละครั้งของการทำเลเซอร์ จะกระตุ้นเนื่อเยื่อผิวใหม่ ให้หลุมสิวตื้นขึ้นเรื่อยๆ
การรักษาด้วยเลเซอร์นี้ สามารถใช้ร่วมกับเทคนิคอื่นๆ เช่น TCA cross, subcision และ punch excision ได้เช่นกัน ซึ่งสามารถทำได้ใน visit เดียวกัน หรือหลังจากนั้นหลายสัปดาห์ก็ได้
การรักษาหลุมสิว BOXCAR SCARS โดยใช้เทคนิค TCA CROSS/ TCA Paint ?
TCA CROSS ย่อมาจาก TriChloroacetic Acid Chemical Reconstruction of Skin Scars เป็นการรักษาที่เรียบง่ายแต่ได้ผลดีมาก หากทำในมือแพทย์ที่ชำนาญ เหมาะสำหรับการรักษาแผลเป็นหลุมสิวในชั้นลึก
ในหลุมสิว BOXCAR SCARS การรักษาด้วย TCA cross สามารถทำให้หลุมดีขึ้นได้อย่างมาก โดยเฉพาะในกรณีที่มีข้อจำกัดไม่สามารถการผ่าตัดออกด้วย punch excisionได้ หรือไม่ตอบสนองต่อการทำ FRACTIONAL LASER
TCA CROSS ทำได้โดยทา TCA หยดเล็ก ๆ ที่ก้นแผลเป็นแต่ละจุด สิ่งนี้ทำให้เนื้อเยื่อเฉพาะที่เสียหาย ซึ่งทำให้เนื้อเยื่อแผลเป็นแตกตัว มีการทำลายเนื้อเยื่อเก่า และกระตุ้นให้เนื้อเยื่อเริ่มสร้างใหม่
TCA Paint เป็นการทากรด TCA คล้ายการระบายสีด้วยพู่กัน ลงไปที่ฐานแผลของหลุมสิวแบบ Boxcar ซึ่งมีพื้นที่กว้างกว่าหลุมแบบจิกลึกที่มักใช้เทคนิค TCA CROSS เป็นหลัก
โดยทั่วไปแล้ว คนไข้ส่วนใหญ่มักมีแผลเป็นหลุมสิวหลายประเภทผสมกัน ซึ่งแต่ละประเภทก็ต้องใช้วิธีรักษาเฉพาะประเภท ด้วยเทคนิคที่หลากหลายแตกต่างกันออกไป วิธีตามมาตรฐานสากลตามตำราที่แพทย์ผิวหนังทั่วโลกใช้ ได้แก่ TCA CROSS, Subcision, Dermal fillers, Punch excision, Minor surgery และ Fractional Laser Resurfacing
การตรวจประเมินประเภทของแผลหลุมสิวอย่างละเอียดถูกต้อง เป็นอีกหนึ่งปัจจัยสำคัญที่ทำให้การรักษาหลุมสิวของหมอได้ผลดีอย่างชัดเจน
เมื่อหมอได้ทำการตรวจวิเคราะห์ ระบุประเภทของหลุมสิวที่ถูกต้องแล้ว รอยแผลเป็นที่ตรวจพบจะถูกถ่ายภาพและทำแผนภาพไว้เป็น baseline สำหรับการวางแผนรักษา และตรวจประเมินหลังการรักษาอย่างต่อเนื่อง หลังจากนั้นหมอจะทำการออกแบบ การรักษาเฉพาะสำหรับคนไข้แต่ละคน ซึ่งมีสภาพผิวและข้อจำกัดที่แตกต่างกันไป เพื่อให้ได้ผลลัพธ์ที่ดีที่สุดเท่าที่จะเป็นไปได้
Rolling Scar แผลเป็นหลุมสิว ที่เห็นชัดสะดุดตาคนทั่วไปมากที่สุด
จึงมักทำให้ผู้ป่วยวิตกกังวลเป็นอย่างมาก
น่าเสียดาย ที่คนไข้หลายคนมักมีความเข้าใจผิดที่ว่า ถ้าเป็นหลุมสิวที่เด่นชัดขนาดนี้ก็ต้องรักษาด้วยเทคโนโลยีเลเซอร์ที่ดีที่สุดเท่านั้น
ซึ่งเป็นความเข้าใจที่ไม่ถูกต้องสักทีเดียว เพราะต้นเหตุแท้จริงที่ทำให้หลุมสิว Rolling Scar มีลักษณะยุบตัวเป็นแอ่งคลื่นเด่นชัด นั่นก็เพราะมีพังผืดที่ดึงรั้งอยู่ข้างใต้นั่นเอง
และเพื่อให้ได้ผลลัพธ์การรักษาสูงสุด การตัดพังผืดจึงควรเป็นขั้นตอนแรกที่ต้องทำ ในการรักษาหลุมสิวประเภทนี้ ไม่ใช่มัวแต่มองหาแต่คอร์สเลเซอร์ที่บอกต่อกันว่าเป็นเทคโลโลยีที่ดีที่สุดในช่วงเวลานั้น
Rolling Scar พบได้บ่อยแค่ไหน?
หลุมสิว Rolling Scar คือแผลเป็นหลุมสิวชนิดที่มีการฝ่อยุบตัวหรือสูญเสียปริมาตรของชั้นเนื่อเยื่อข้างในผิว
โดยทั่วไป หลุมสิวประเภทนี้ พบได้ 15%–25% ของผู้ป่วยหลุมสิวทั้งหมด
แม้ว่าจะไม่ใช่รูปแบบของหลุมสิวที่เจอบ่อยที่สุด แต่ก็เป็นแบบที่ทำให้คนไข้กังวลมากเช่นกัน
หลุมสิว Rolling Scar มีลักษณะอย่างไร ?
Rolling Scar เกิดขึ้นจากการสูญเสียปริมาตรเนื้อเยื่อผิวและมีพังผืดดึงรั้งอยู่ข้างใต้ และมักจะมีปากแผลกว้างกว่า 4-5 มม. ขอบแผลจะไม่คมชัดมาก ทำให้พื้นผิวหน้าดูคล้ายแอ่งลูกคลื่นในบริเวณกว้าง
Rolling Scar เกิดขึ้นได้อย่างไร?
เช่นเดียวกับแผลเป็นหลุมสิวประเภทอื่น ที่เกิดจากสิวระดับปานกลางถึงรุนแรง ในหลุมสิว Rolling Scar ผิวหนังจะถูกพังผืดดึงรั้งลงมาเกี่ยวโยงกับกล้ามเนื้อหรือเนื้อเยื่อไขมันด้านล่าง ดังแสดงในรูป

ดังนั้น ในการรักษาหลุมสิวประเภทนี้ จำเป็นต้องมุ่งไปที่การตัดพังผืดให้ได้ก่อน และหากมีการสูญเสียปริมาตรเนื้อเยื่อฝ่อตัวยุบลงไปก็ควรจัดการด้วยสารเติมเต็มด้วย
พังผืดเกิดจากการผลิตเส้นใยคอลลาเจนที่ไม่เป็นระเบียบและควบคุมไม่ได้ ในระหว่างกระบวนการซ่อมแซม (wound healing process) หลังจากมีสิวอักเสบบวมแดง
การรักษาบาดแผลเป็นหนึ่งในกระบวนการทางชีวภาพที่ซับซ้อนที่สุดในร่างกาย และเกี่ยวข้องกับตัวกลางสารสื่อประสาทหลายตัว ทั้งส่วนของECM ไฟโบรบลาสต์ และcells ชนิดต่างๆ อีกมากมาย
กระบวนการเหล่านี้ถูกจัดการโดยระบบภูมิคุ้มกัน จึงทั้งกระตุ้นการสร้างเนื้อเยื่อใหม่และการทำลายเนื้อเยื่อที่ได้รับความเสียหายจากสิวได้ในขณะเดียวกัน
ในผู้ป่วยที่มีแนวโน้มที่จะเกิดหลุมสิว rolling scar นักวิจัยพบว่ามีการทำลายเนื้อเยื่อมากเกินไปเมื่อเทียบกับการสร้างเนื้อเยื่อใหม่! ดังนั้นความไม่สมดุลระหว่างการทำลายออกและการสร้างเนื้อเยื่อใหม่ จึงเป็นสาเหตุหนึ่งที่ทำให้แผลเป็นเริ่มยุบตัว หากคุณต้องการเรียนรู้เพิ่มเติมเกี่ยวกับเรื่องนี้ โปรดดูบทความนี้ “สิวและรอยแผลเป็นจากสิวเกิดจากอะไร”
จากการวิเคราะห์ผิวของหมอ ประเภทของแผลเป็นจากสิวที่แตกต่างกัน และประเภทผิวของผู้ป่วย การวางแผนการรักษาเฉพาะบุคคล จะทำให้ได้ผลลัพธ์การรักษาที่สูงสุดเท่าที่จะเป็นไปได้
การทำ Subcision รักษาหลุมสิวแบบ Rolling Scar ได้อย่างไร ?
การทำหัตถการ Subcision ตัดพังผืดใต้ผิวหนัง ยังคงเป็นหนึ่งในการรักษาที่มีประสิทธิภาพมากที่สุด เป็น Gold Standard สำหรับแผลเป็นหลุมสิวแบบ tethered, rolling, anchored และ bound down scars แต่ต้องทำในมือแพทย์ที่ชำนาญเท่านั้น จึงจะได้ผลลัพธ์ที่ดีที่สุด
สำหรับเทคนิคเฉพาะตัวของหมอ จะใช้เข็มชนิดพิเศษหลายแบบ และเครื่องมือพิเศษ ช่วยตัดพังผืดที่ยึดเกาะกับผิวกล้ามเนื้อและเนื้อเยื่อไขมัน ในทุกทิศทางทั้งแนวดิ่งและแนวขวาง เพื่อให้พังผืดที่มีอยู่ถูกตัดออกมากที่สุด และกระทบผิวที่ปกติให้น้อยที่สุด
ทั้งนี้การทำเลเซอร์จะไม่สามารถ รักษาหลุมสิวประเภทนี้ได้เลย หากยังมีพังผืดฝังแน่นอยู่ การผ่าตัดผังผืด subcision ที่มีประสิทธิภาพ จะเห็นผลลัพธ์หลังทำในทันที
เมื่อทำร่วมกับการฉีดสารเติมเต็มเข้าไปเป็นกันชน ไม่ให้พังผืดกลับมายึดเกาะกันใหม่ และช่วยเพิ่มปริมาตรให้กับเนื้อเยื่อผิวที่เคยยุบตัวลงไป จากการที่เนื้อเยื่อถูกทำลายด้วยระบบภูมิคุ้มกันตอนเป็นสิวอักเสบ